Urologische Gutachten

Aktuellste Publikation (05/2025):

Siehe auch  Unterseite: „Publikationen“

 Rigiscan Erektionsdiagnostik mit Gerät der neuesten Generation 

(im Rahmen mehrtägiger Begutachtung)

Gutachten bei Berufserkrankungen und Unfallfolgen

Beruflich bedingte urologische Erkrankungen (z.B. Harnblasen- oder Nierenkrebs) benötigen neben arbeitsmedizinischen Gutachten im Rahmen der Anerkennung v.a. sachlich fundierte urologische gutachterliche Aufarbeitung bei der Bewertung der Folgen im Alltag

Urologische Unfallfolgen, v.a. bei versicherten Arbeits- und Wegeunfällen sind mannigfaltig und werden oft in der Aufarbeitung zu wenig beachtet. Hier liegt ein besonderer Schwerpunkt meiner Arbeit

Auftraggeber

Beauftragt werde ich von Gerichten, gesetzlichen und privaten Unfallversicherungen, Behörden (Dienstunfallrecht) und teils nach §109 SGG von Privatpersonen bzw. Rechtsanwälten. 

Werden Gutachter von einer BG oder Unfallkasse vorgeschlagen werden, kann ein Versicherter selbst einen Gutachter vorschlagen.

 In der Regel wird diesem Vorschlag dann auch gefolgt.

Beratung von Unfallversicherungen

Nach jahrelanger Tätigkeit als Gutachter und richtungsgebenden Publikationen in diesem Themenbereich  (siehe Publikationen) bin ich seit 2019 beratend für die BGRCI Köln (Berufsgenossenschaft für Rohstoffe und Chemische Industrie) tätig.

Beruflich bedingter Blasenkrebs kann in einer Vielzahl von Berufen auftreten. Während die Empfehlung, ob eine Krebserkrankung als Berufserkrankung anerkannt werden soll, in aller Regel vom Arbeitsmediziner gegeben wird, ist es einzig und alleine am gutachterlich erfahrenen Urologen, mögliche Tumor- und Therapiefolgen zu untersuchen, zu objektivieren und ggf. die Empfehlung für eine MdE auszusprechen.

Unfälle

Urologische Unfallfolgen sind mannigfaltig: Erektile Dysfunktion, Blasenfunktionstörungen, manchmal sogar Tumoren der Blase.

Nur durch strukturierte Befunderhebung können diese Folgen so nachgewiesen (objektiviert) werden, dass sie auch entsprechend entschädigt werden können und Ansprüche ggf. auch im Sozialgerichtsverfahren durchgesetzt werden können .

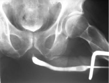
Je nach Beschwerdebild bzw zu klärendem Sachverhalt sind alle relevanten urologisch funktionellen Untersuchungen möglich:

- Uroflowmetrie und Urodynamik (mit der neuesten Gerätegeneration von 2025)

- Röntgendiagnostik des Harntraktes (in Kooperationspraxis)

- Endoskopie (flexible Zystoskopie)

- Erektionsdiagnostik (SKIT, Duplex)

 Und seit 2023: Rigiscan 

  Erektionsdiagnostik (i.R. mehrtägiger Gutachten)

ß-Naphtylamin, ein krebserregendes aromatisches Amin

Über mich

Olaf P. Jungmann

Langjährige operative Erfahrung

Gutachterliche Tätigkeit

Sachverständiger

Beratender Arzt

Parallel zu 20 Jahren klinischer Tätigkeit, zuletzt als leitender Oberarzt der Urologischen Klinik Lindenthal habe ich schon in meiner Assistenzarztzeit mit der Begutachtung von urologischen Krankheitsbildern begonnen.

Seit dem 1.1.2025 fokussiere ich mich nach jahrelangem Anstieg der Auftragszahlen vollumfänglich auf die Tätigkeit als Gutachter, Sachverständiger und beratender Arzt. 

Mittlerweile habe ich über 800 Gutachten in allen relevanten Rechtsbereichen  erstellt.

In den letzten Jahren habe ich an einigen wegweisenden Publikationen zu Themen wie Begutachtung von beruflich bedingtem Blasenkrebs, erektiler Dysfunktion und urologischen Querschnittsfolgen teils federführend mitgearbeitet, ebenso am urologischen Teil des Kursbuchs zur Begutachtung. 

Aktuell bin ich als Vertreter der Deutschen Gesellschaft Mitglied in einer Arbeitsgruppe der gesetzlichen Unfallversicherungen zur Erstellung einer Begutachtungsleitlinie für die Begutachtung von beruflich bedingten Schleimhautveränderungen und Krebs der ableitenden Harnwege.

Siehe hierzu auch den Menüpunkt: Publikationen 

Adresse für gutachterliche Anfragen   

Zentrale Poststelle: 

In den Weingärten 21

53127 Bonn


Ebenso und sehr verlässlich bin ich über das elektronische Gerichts- und Verwaltungspostfach (EGVP bzw. eBO)  unter der o.g Bonner Adresse zu erreichen

EGVP/eBO: DE.Justiz.cc25baf6-f95e-40aa-a888-4ded73c344ba.56dc


Untersuchungsort (keine Postadresse, nur nach Einladung):

Urologische Gemeinschaftspraxis Dieter Kraus / Dr. Gero Dauer

Sachsenring 1

50677 Köln


Telefon.                                      Fax:

022818058451                           022818058452

E-MAIL ADDRESS

Bitte nutzen Sie zur Kontaktaufnahme per Email das Kontaktformular unten

contact

Scheuen Sie sich nicht mir über Ihr Anliegen zu schreiben. Klicken Sie das Feld unten und schreiben Sie ihre Email wie gewohnt über Ihr Emailprogramm.